当院だからこそできる
本当の美しさへEsthetic

当院ならではの匠のコラボレーション
当院では、専属の技工士が常駐し、歯科医師と連携を取りながら、直接患者様のご要望や状況を把握し、フルカスタムメイドのセラミック冠を製作しております。
審美治療のメリットBenefits
身体に優しい治療
金属を使用しない治療(セラミック・ジルコニア)はアレルギーの心配もありません。
天然歯のような美しさ
銀歯とは異なり、天然歯に近い色調です。
精密・リーズナブル
当院は専属の技工士が常駐しておりますので、
歯科医師と連携した精密な技工物を比較的リーズナブルにご提供しております。
症例Case
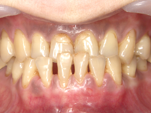
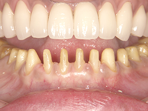
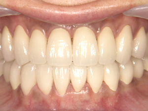
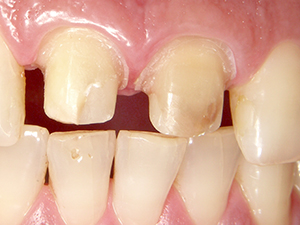
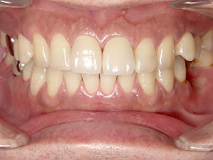
治療例1



ご費用 | ジルコニアセラミッククラウン 132,000円(税込) ジルコニアクラウン 88,000円~110,000円(税込) |
---|---|
リスク・副作用 |
保険非適応(自費診療) 硬いものを噛んだ際の破損のリスク |
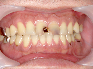
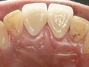
治療例2






ご費用 | ジルコニアセラミッククラウン 132,000円(税込) ジルコニアクラウン 88,000円~110,000円(税込) |
---|---|
リスク・副作用 |
保険非適応(自費診療) 硬いものを噛んだ際の破損のリスク |