食べる喜び、取り戻しませんか?Implant
インプラントとは、チタンでできた人工歯根のことです。インプラント治療は、人工歯根を植え込み、「歯の土台」を作り上げることで、「噛む力」「健康な歯への影響」などの問題点を解決し、極めて自然歯に近い歯を作り上げることが出来ます。そのことからインプラントは、乳歯、永久歯に継ぐ「第三の歯」と呼ばれています。
歯を失った方は、インプラント治療により、新たな歯を手に入れ、本当の食べる喜びを取り戻しましょう。
色々と不安な点もあると思いますが、理事長は、40年の実績があり、多くの患者様からの信頼を得ております。
お気軽にご相談ください。
当院のインプラントの7つのお約束Promise
1 経験豊富な当院理事長の確かな技術力
当院理事長は、インプラント歴34年の経験があり、インプラントの歴史と共に歯科医師人生を歩んでまいりました。その知識や経験は国内でもトップレベルであり、過去の技術から現代の最新技術まですべてを用いて、患者様に安心かつ安全なインプラント治療をご提供できます。
2 最新かつ衛生的なオペルーム完備
現在、インプラントは数多くの歯科医院で施術されていますが、当院ではインプラント手術専用のルームを設けており患者様にとって、落ち着いてリラックスして施術を受けていただけるようにしております。
3 最先端の機材や環境下での施術
現代の技術産業は日進月歩で進化しており、その技術力は患者様の身体的・精神的負担の軽減をもたらし、治療の成功率や迅速化をも向上させます。当院では、最先端かつ安全な機材への設備投資をしており、全国でもトップクラスの環境を実現しております。
4 世界トップクラスのシェアを誇る安全なインプラント
当院で用いるインプラントはOSSTEM社のインプラントを使用しており、アジア・太平洋圏内トップシェアの会社の製品を使用しております。そもそも、インプラントは欧米発祥の治療であり、既存の海外製品の規格はどうしても骨質が弱く・細いアジア幽の人間には適応症例が限られるのではと理事長は思應しておりました。しかし、このOSSTEM社のインプラントはアジア圏の人間を対象とした研究・製品開発に力を注いでおり、日本人には最も適しているのではと考慮し、当院ではOSSTEM社のインプラントをご提供させていただいております。
5 インプラント専門の歯科技工士による上部構造のご提供
インプラントは、天然歯に対する被せ物と構造や製作工程が異なり、非常に高度の技術を要します。そこで当院では、インプラント上部構造の制作に特化し、最先端設備や技術を有する歯科技工所であるShim.Craft社と業務契約しており、専門の歯科技工士による完全オーダーメードの上部構造を患者様にご提供させていただきます。
6 インプラントは治療終了からが本当のお付き合い
当然、患者様はインプラントは長く持ち、永久的なものと思いがちですが、もちろん永久的という人工物は存在いたしませんし、雑に扱えばダメにもなります。しかし、丁寧かつ適切にメインテナンスを行えば、かなり長期的にインプラントを使用することが可能になります。治療後には、専門の歯科衛生士が患者様一人一人に合ったメインテナンスをご提案いたしますので、アフターケアも万全に患者様をサポート致します。
7 安心の保証システム
インプラント本体は10年保証・インプラント上部構造は5年保証で、万が一のトラブルの
際には無償にて再治療させていただきます。
尚、保証条件として、当院既定の定期検診は受診していることが条件となります。
治療の流れFlow
-
1初診
インプラント治療に関するご相談とご説明をいたします。
-
2診査
病歴や健康状態に関する問診、口の中の検査、レントゲン写真とCTや歯型の採取を行います。
-
3診断
治療方針、計画の決定とご説明をいたします。
-
4手術
口腔内へセットして治療完了です。 セット後、万が一噛み合わせが悪かったり、違和感がある場合は医師にお申し出ください。
手術の手順
-
1
奥歯が1本抜けてしまった場合、従来はブリッジや入れ歯で治療していました。
しかし、それでは残っている歯に負担がかかったり、傷つけたりしてしまいます。
-
2
残っている歯の為にインプラント治療を選びました。
まず、歯が抜けてしまったところに、インプラントを植えこむためのスペースをつくります。
-
3
インプラントを植えこむためのスペースに、もともとあった歯の形に合わせたインプラントを植えこみます。
-
4
インプラントを植えこんだら、歯肉で蓋をして6~12週間待ちます。
この期間を治癒機関と呼び、この間にインプラントが顎の骨と一体になります。
-
-
5製作
当院専属の技工士があなただけの人工の歯をカスタムメイドで製作します。
-
6人工の歯を装着、完成
人工の歯をインプラントに連結して完成となります。
人工の歯の装着について
-
1
インプラントと顎の骨が一体になったら、インプラントに支台装置を取り付けて人工の歯をかぶせます。
-
2
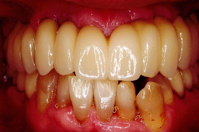
インプラントによる補綴(歯の再建)処置が完成した状態です。
歯があったときと同じ感覚が回復します。
残っている歯の状態も良くなります。
-
インプラント治療に際しては、口腔衛生への高い意欲が必要となります。
お口の中を清潔に保つことが難しい場合は、治療を断念することもあります。
症例Case
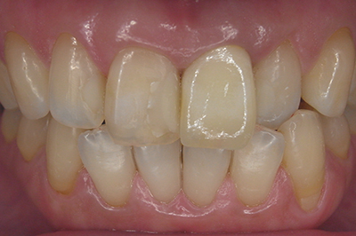
治療例1
| ご費用 | 手術費用人工歯根 1本275,000円(税込) 上部構造 88,000円~110,000円(税込) |
|---|---|
| リスク・副作用 |
保険非適応(自費診療) 特定の全身疾患や持病のある方、顎骨密度の足りない方、妊娠中の方は手術ができない場合があります。 下顎のインプラント手術の際、偶発症のリスクがあります。 人工歯根が顎骨と癒着しないリスクがあります。 インプラント周囲炎になるリスクがあります。 |
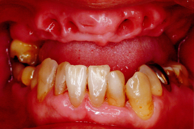
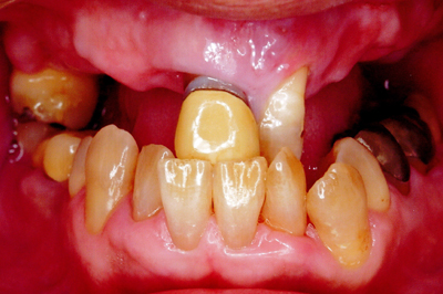
治療例2
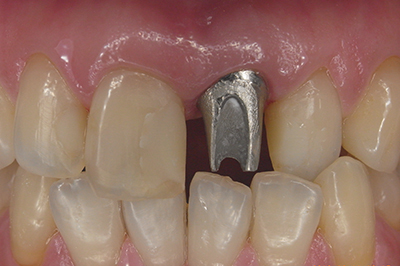
歯ぐきが安定した状態
土台をたてた
噛める機能を回復
| ご費用 | 手術費用人工歯根 1本275,000円(税込) 上部構造 88,000円~110,000円(税込) |
|---|---|
| リスク・副作用 | 保険非適応(自費診療) 特定の全身疾患や持病のある方、顎骨密度の足りない方、妊娠中の方は手術ができない場合があります。 下顎のインプラント手術の際、偶発症のリスクがあります。 人工歯根が顎骨と癒着しないリスクがあります。 インプラント周囲炎になるリスクがあります。 |

