本当の白さ、手に入れませんか?whitening
当院のレーザーホワイトニングは、通常のオフィスホワイトニング施術に加えて、ホワイトニング剤の塗布前に、超高性能レーザーを照射することで、ホワイトニング剤がより効果的に歯面に浸透出来るように働きかけます。その事によってよりスピーディーに白い歯を目指せるのは勿論、それと同時に虫歯予防・歯の再石灰化に働きかけられるのも特徴です。
通常のオフィスホワイトニングで、今一つご納得出来なかった方は当院にご気軽にご相談ください。
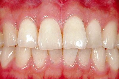
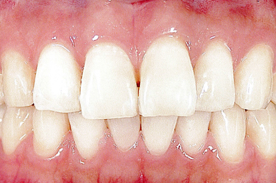
症例Case


| ご費用 | 1歯 3,300円(税込) |
|---|---|
| リスク・副作用 |
保険非適応(自費診療) 色が後戻りするケースがあります。 |
レーザーホワイトニング
施術の流れLaser Whitening
-
1レントゲン撮影、口腔内写真撮影、口腔内診査
-
2ホワイトニング前のお色を測定
施術前に、シェードガイドをもとに、どの程度の着色があるかを調べます。
-
3歯の汚れを除去
空気と水とパウダーを高圧で噴射させる「エアフロー」を使用して、歯ブラシなどでは取れにくい汚れをクリーニング。表面の汚れが落ちることで、ジェルやレーザーが浸透しやすくなるよう働きかけます。
-
4超高性能レーザー照射
1本1本丁寧にレーザー照射を行い、ホワイトニング剤が浸透しやすい環境を整えていきます。
-
5ホワイトニング剤の塗布
歯ぐきを守る薬を塗って、ジェルが直接歯ぐきに触れないようにします。その後、ホワイトニングを行う歯に、1本1本ホワイトニングジェルを塗布。
-
6可視光線照射
ホワイトニング剤の作用の活性化に働きかけます。
-
7ホワイトニング剤の除去
ホワイトニング剤の作用の活性化に働きかけます。
-
8PMTC
歯面のコーティングを行います。
-
9ホワイトニング前との比較
施術後に施術部位を撮影。シェードガイドをもとに、施術前後の歯の色の比較を行います。
以上で施術は終了ですが、施術後24時間は、色素を取り込みやすい状態になっています。施術後は、着色作用が強いコーヒーや赤ワインなどは控えてください。※所要時間は約60分です。ホワイトニングの効果・持続時間には個人差があります。

